Los manglares son de vital importancia para los ecosistemas marinos, pues se constituyen en una especie de ‘guarderías’ para algunas especies marinas y terrestres, entre ellas peces y mariscos, protegiéndolas contra tormentas y tsunamis. Adicionalmente, se constituyen en una barrera natural frente a la erosión de los vientos y las mareas. Sin embargo, su pérdida, como consecuencia de la intervención humana, alarma hoy al mundo. Según datos de la FAO, desde 1980 se ha destruido cerca del 30% de su superficie, situación que es mucho más grave en nuestro país, teniendo en cuenta que desde 1960 se ha perdido cerca del 57% de cobertura del manglar.
Como lo destaca el investigador y profesor del Departamento de Ciencias Biológicas y Ambientales de Utadeo, Michael Ahrens, si bien existen regulaciones y estándares frente a la presencia de partículas contaminantes como metales pesados o plaguicidas en alimentos provenientes del mar, aún no existen umbrales de contaminación para la protección de las especies que habitan los manglares: “Sabemos que muchas regiones costeras tienen impactos antropogénicos por expansión, sobreaprovechamiento de recursos, destrucción de hábitat, especies introducidas, explotación minera y de hidrocarburos, pero la polución también es una de las maneras en la que los estamos afectando”, enfatizó.
Desde el año 2012, Ahrens en conjunto con un grupo de investigadores de Utadeo (Andrea Luna, Ángela Moncaleano, Esperanza González, Luisa Villamil y Samuel Casseres); de la Universidad Nacional Autónoma de Nicaragua (Javier Aguirre y Félix Espinoza), así como de la Universidad del País Vasco (Ionán Marígomez), se dieron a la tarea de evaluar qué tan sanos eran los manglares de Colombia y Nicaragua, tomando a las ostras como bioindicadoras (especies vegetales o animales que brindan información sobre el estado de los ecosistemas). A este proyecto se le conoce como Caribiopol.
El profesor Michael Ahrens fue uno de los investigadores que lideró el estudio
La importancia de estos moluscos radica en que al cumplir una función de filtros del agua que circulan por los manglares, se alimentan de muchos de los nutrientes que allí se encuentran, al tiempo que son fuente de alimentación de peces e incluso el hombre, logrando así una transferencia de los componentes químicos que están presentes en el ecosistema, tanto en sus aguas como sedimentos. Adicionalmente, las ostras son abundantes en ambos países y son sensibles ante las partículas contaminantes que consumen.
El trabajo de campo del estudio comprendió la colección de unas 80 individuos y sedimentos superficiales de cada una de las cinco zonas del caribe colombiano (Marina de Santa Marta, playa de Taganga, Barú -Bahía de Barbacoas -; el puerto de contenedores de Cartagena e Isla Brujas, en la zona industrial de Mamonal), así como en la isla Halfway, Punta Lora e Isla Pigeón en Nicaragua, llevando a cabo tres muestreos en diferentes épocas del año (lluvioso, seco y templado), entre octubre de 2012 y octubre de 2013.
Los tejidos de 25 ostras y los sedimentos de los sitios correspondientes fueron analizados para metales a través de un espectrómetro de masas de plasma acoplado inductivamente (ICPMS), instrumento que es utilizado comunmente para encontrar rastros de elementos químicos de nuestra tabla periódica en tejidos orgánicos.
Análisis y selección de las muestras en Utadeo Cartagena
Una de las mayores sorpresas que se llevaron los investigadores fue que Barú e Isla Brujas (Cartagena), ecosistemas considerados prístinos por los investigadores, presentaron altos índices de concentración de cadmio en los tejidos de ostras y sedimentos, durante la temporada de lluvias, incluso por encima de otras zonas costeras de alto impacto por el hombre como Taganga o los manglares de la zona industrial Cartagena.
Esto se debe, posiblemente, a la actividad industrial y de trazas de fertilizantes de la producción agrícola que circulan por el Canal del Dique. Sin embargo, los más afectados por esta exposición al metal son los animales que habitan las inmediaciones de los sedimentos, provocando que, en casos severos, se reduzca su actividad motora e incluso disminuyan sus capacidades biológicas como la de reproducción.
Trabajo de campo en Bahía de Barbacoas (Cartagena)
Por su parte, en la Marina de Santa Marta se hallaron niveles intermedios de cobre y estaño en los tejidos de ostras, así como elevadas concentraciones de mercurio, causado en parte por pinturas anti incrustantes para barcos.
Pese ello, se rescata que en la Bahía de Cartagena se ha dado una disminución considerable del mercurio, a tal punto que las nuevas capas de sedimento son más limpias. Sin embargo, en el caso de las ostras, se destaca que los niveles de mercurio todavía están en un nivel intermedio, comparado los niveles aceptados por el programa de monitoreo "Mussel Watch" de la Agencia Oceanografica y Atmosférica Nacional (NOAA) en los Estados Unidos.
Así mismo, en temporada seca, el estudio indicó una alta concentración de arsénico, cadmio, cromo, cobre y zinc en los tejidos de las ostras, en comparación con el promedio de otras localidades del caribe, mientras que en Taganga responden a niveles promedio. De igual manera, en Barú e Isla Bruja el plomo registrado para la época de lluvia indicó una baja concentración.
Una conclusión importante del estudio es que en todos los lugares de muestreo se evidenció contaminación por metales en los tejidos de las ostras, aunque en diferentes combinaciones para cada lugar. Ello preocupa en la medida que significa que ya no hay lugares "prístinos" o sin contaminación.
Por su parte, en Nicaragua, en la isla Halfway e isla Pigeón se encontraron niveles altos de mercurio en las ostras, durante la temporada de lluvias, mientras que en la temporada seca se evidenciaron niveles moderados, esto debido especialmente a las actividades artesanales de extracción de oro en la cuesta arriba de río Escondido.
Y es que aunque los niveles de contaminación percibidos en Colombia fueron menores en comparación con Nicaragua, Ahrens hace un llamado a no bajar la guardia en cuanto al monitoreo de estos ecosistemas, pues en el estudio se hizo evidente la disminución en la vitalidad de las especies que habitan los manglares, especialmente en cuanto a la poca resiliencia que últimamente presentan frente al impacto ambiental.
Recolección de muestras en las playas de Taganga (Magdalena)
“No hay duda de que nuestras ostras evidencian exposición de contaminantes, que afecta su estado optimo de vitalidad y que varía de acuerdo con los años. En algunas épocas encontramos índices de salud mejores que otros. Pero, con cada impacto ambiental, esto hace que los organismos disminuyan su resistencia”, agregó el investigador, quien considera que la pesca desaforada, la disposición de basuras en los mares, e incluso, las modificaciones a los cauces de los ríos, se han convertido en los principales enemigos de los manglares, más allá de la presencia de metales pesados.
Un caso concreto de ello es la Ciénaga de Santa Marta. Hace algunos años se construyeron diques y un terraplén que la aisló del mar, provocando con ello una alta salinidad en el agua que destruyó el ecosistema de los manglares. Aunque posteriormente la ciénaga se conectó al río Magdalena, la calidad del agua disminuyó, obligando así a la desaparición de las ostras.
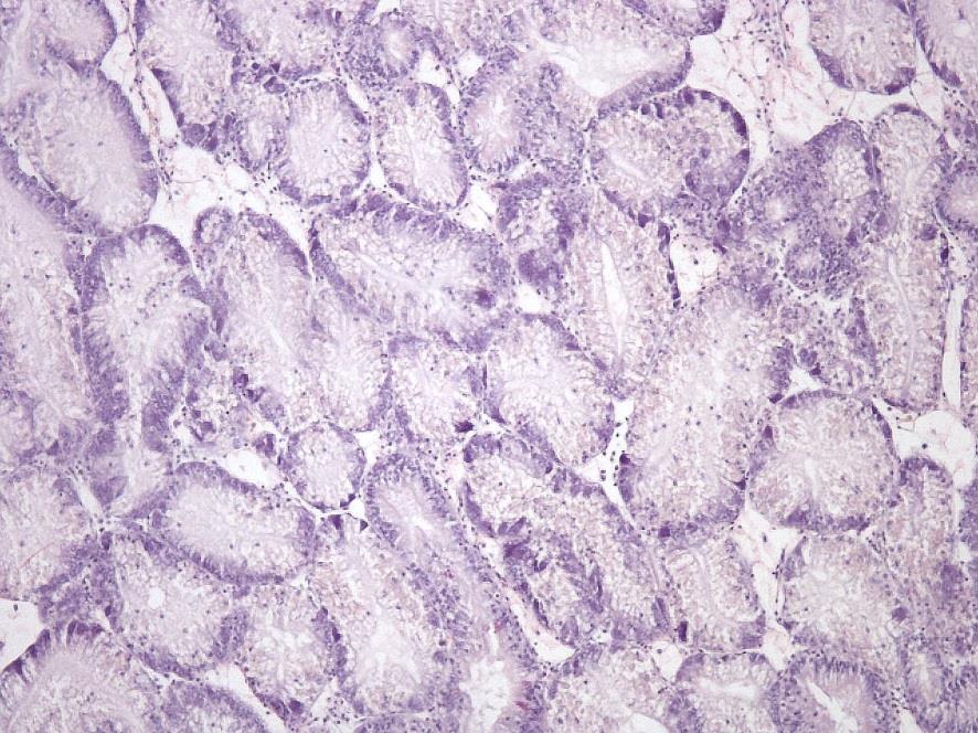
Análisis histológico de las glándulas digestivas de las ostras. En la primer fotografía se observan los tubos digestivos sanos, mientras que en la segunda se evidencian atrofias o enfermedades, producto de la contaminación del ecosistema (A. Luna, 2013)
Es por ello que desde la investigación se insta al gobierno a definir umbrales de polución, donde se diferencien los efectos potenciales y la alta probabilidad de toxicidad de los ecosistemas, pues actualmente solo existen referentes extranjeros: “Colombia no ha tenido una trayectoria de investigación de las especies en los manglares. Es una decisión de la sociedad valorar cuánto nos importa una ostra frente a un róbalo, y en la toma de decisiones no es solo la ciencia, sino que son también aspectos subjetivos como las identidades culturales u otros beneficios”, enfatizó Ahrens, para quien urge monitorear constantemente las realidades de los ecosistemas, sumado a políticas que impidan a organizaciones aplicar a licencias ambientales si estas exceden los topes de contaminación en sus actividades.


